脳・神経科学、がん、創薬研究の品質向上と効率化に貢献 リサーチスライドスキャナー「SLIDEVIEW VS200」を新発売わずか2クリックでスライドガラス標本を高精細データ化
2019年10月31日

リサーチスライドスキャナー「SLIDEVIEW VS200」
オリンパス株式会社(社長:竹内 康雄)は、脳・神経科学、がん、創薬などの幅広い研究分野で活躍するリサーチスライドスキャナー「SLIDEVIEW VS200」を2019年10月31日より発売します。わずか2クリックでスライドガラス標本を高精度にスキャンし、信頼度の高いデータを取得可能です。多様な観察手法とサンプルサイズに対応したことで、より多くの研究対象や用途に応用できます。大量のスライドガラス標本を自動搬送するスライドローダーを併用することで、研究作業効率の向上に貢献します。
スライドスキャナーは、サンプルを載せたスライドガラスを全自動で高速スキャンして高解像画像を正確に貼り合わせ、バーチャルスライドに変換します。これにより、組織の全体像から微小な細胞の形態、タンパク質の分布まで、自由に拡大・縮小して観察することができます。
今回は幅広い研究分野で活躍するリサーチスライドスキャナー「SLIDEVIEW VS200」を発売します。本製品は、新設計したスライドスキャナー専用の光学系に高性能対物レンズシリーズ「X Line」を組み合わせることで前機種から解像度、フラットネス、色収差補正が向上しているため、定量性に優れた信頼度の高いデータを取得可能です。また、明視野と蛍光に加えて新たに暗視野、位相差、偏光観察の3つの観察手法が可能になりました。明視野観察では捉えにくかった未染色のサンプルであっても、コントラストを付けることでクリアに観察することができます。さらに、多様なサイズのスライドガラスに対応したことで、複数枚に分割する必要があった大きなサンプルでも1枚のスライドガラスで、1つのデータとして保存することが可能です。多様な観察手法とサンプルに対応することで、より多くの研究対象や用途へ応用できます。そして、過去に保存したスキャン条件を選択してスタートすれば、わずか2クリックで高精細なデータを取得できるため、簡単な操作で実験のワークフローの改善や標準化を実現します。
主な特長
- 定量性に優れた信頼度の高いデータ取得が可能
- 多様な観察手法とサンプルサイズに対応し、研究対象や用途を拡大
- 最少2クリックの簡単な操作とスライドローダーによりワークフローの改善と標準化を実現
主な特長の詳細
1. 定量性に優れた信頼度の高いデータ取得が可能
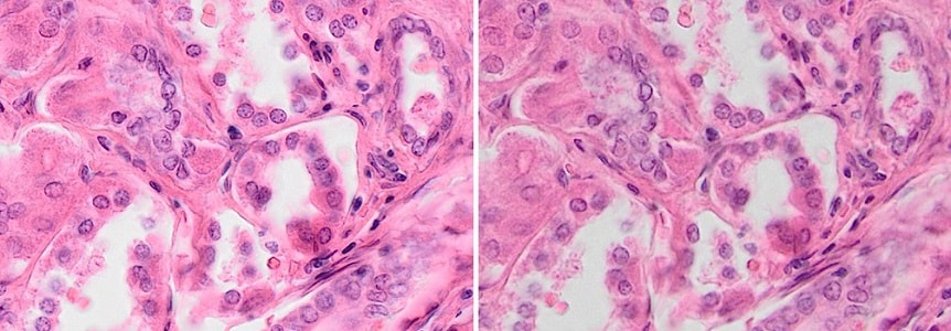
新設計したスライドスキャナー専用の光学系に高性能対物レンズシリーズ「X Line」を組み合わせることによって前機種から解像度、フラットネス、色収差補正を向上しました。組織の中で特定のタンパク質が分布する範囲や、複数の種類のタンパク質が相互作用する様子を正確に捉えることができます。また、がん研究においては、重要な評価要素である組織の色合いや細胞の形態変化を鮮明に観察できるため、定量性に優れた信頼度の高いデータを取得可能です。
腎臓の細胞の観察画像比較(左:SLIDEVIEW VS200、右:前機種)
2. 多様な観察手法とサンプルサイズに対応し、研究対象や用途を拡大
従来の観察手法である明視野、蛍光に加え、未染色サンプルにコントラストを付けることができる暗視野、位相差、偏光観察に対応しています。創薬研究などにおいては、コラーゲン繊維のような明視野観察では捉えにくかった透明なサンプルでもクリアに観察することができます。また脳・神経科学研究では大きな組織サンプルを使用します。大きなサイズのスライドガラスに対応したことで、脳などの組織全体と、組織中に存在する特定のタンパク質の分布を1度に1枚の画像データで観察可能です。多様な観察手法とサンプルに対応することで、より多くの研究対象や用途に応用できます。
5つの観察手法による精巣の細胞の観察画像比較
(上段左から)明視野観察、暗視野観察、蛍光観察(下段左から)位相差観察、偏光観察
新しいスライドガラストレイ
従来よりも大きなスライドガラスに対応。大きいサンプルでも全景を1枚のデータに収めることが可能になりました。複数枚のスライドでも同時に撮影できます。
3. 最少2クリックの簡単な操作でワークフローの改善と標準化を実現
本製品は、ワークフローに沿って簡単に操作を進めることができます。過去に保存したスキャン条件を選択してスタートすると、わずか2クリックで簡単に高精細なデータを取得可能です。またスライドローダーを併用することで、最大210枚のスライドガラス標本を自動搬送できるため作業効率向上に貢献します。簡単な操作で作業者のワークフローの改善と標準化を実現します。
スライドローダーの併用例
右側のスライドローダーから左側のスキャナーにスライドを自動搬送し、効率的かつ簡単に作業できます。
本リリースに掲載されている内容は、報道関係者向けに発表した情報です。
掲載内容は、発表日現在の情報であり、ご覧になっている時点で、予告なく情報が変更(生産・販売の終了、仕様、価格の変更等)されている場合があります。

